What Is Teeth Bonding?
Teeth bonding is a simple yet powerful cosmetic dental treatment that can instantly transform your smile. In this quick procedure, your dentist applies a tooth-colored resin a durable, natural-looking material to fix chips, cracks, or small gaps. The resin is carefully shaped to match your tooth’s contour and then hardened with a special light, creating a smooth, seamless finish.
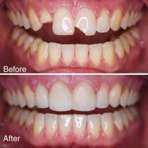
Smile Glow Up:
When you browse teeth bonding before and after photos, the results can be truly impressive. What starts as a smile with small chips, uneven edges, or stubborn stains often turns into a smooth, bright, and beautifully balanced look. After bonding, teeth appear more polished, evenly shaped, and naturally white giving the entire smile a fresh, confident glow.
Aftercare for Teeth Bonding
Proper care can prolong the life of your bonded teeth. Here are some tips:
-
Avoid staining foods and drinks like coffee, tea, and red wine for at least 48 hours after the procedure.
-
Maintain oral hygiene with brushing, flossing, and regular dental checkups.
-
Avoid biting hard objects like ice, pens, or fingernails to prevent chipping.
-
Consider a mouthguard if you grind your teeth at night.
With proper care, bonded teeth can last 3 to 10 years, depending on your habits.
The Teeth Bonding Procedure
Teeth bonding is often completed in one dental visit, making it a fast and convenient cosmetic solution. Here’s what you can expect during the procedure:
-
Consultation: Your dentist examines your teeth, discusses your goals, and selects a shade of resin that matches your natural teeth.
-
Preparation: The tooth surface is lightly roughened, and a conditioning liquid is applied to help the bonding material adhere.
-
Application: The resin is applied, shaped, and molded to your tooth.
-
Curing: A special UV or laser light hardens the resin.
-
Finishing Touches: The dentist trims, shapes, and polishes the bonded tooth for a natural appearance.
The process is painless, usually doesn’t require anesthesia, and can often be completed in 30 to 60 minutes per tooth.
Cost of Teeth Bonding
The cost of teeth bonding varies depending on the location, dentist, and complexity of the procedure. On average, the price per tooth ranges from $100 to $600. Insurance may cover bonding if it is medically necessary, but purely cosmetic bonding is typically out-of-pocket.
Who is a Good Candidate for Teeth Bonding?
Teeth bonding is suitable for most adults and teens with healthy teeth and gums. Ideal candidates are those who want to:
-
Fix minor cosmetic flaws
-
Improve their smile quickly
-
Avoid invasive procedures
However, bonding may not be ideal for people with severe decay, large fillings, or weak teeth, as the resin may not adhere properly. Your dentist can evaluate whether bonding is the best option.
How Long Does It Last?
Teeth bonding can last 3–10 years, depending on your oral habits. To keep your bonding looking great: Avoid biting hard objects (like pens or ice). Brush twice a day and floss regularly. Visit your dentist for touch-ups when needed. Avoid excessive coffee or smoking, which can stain the resin. Proper care keeps that “after” look lasting for years! Before You Get it If you’re considering teeth bonding, consult your dentist first. They’ll examine your teeth to ensure bonding is the right choice. Sometimes, if the damage is too deep or structural, your dentist might suggest veneers or crowns instead.
FAQ,S
What is teeth bonding?
Teeth bonding is a cosmetic dental procedure where a tooth-colored resin is applied and hardened with a special light to repair chipped, cracked, or discolored teeth, improving overall appearance.
What can I expect before and after teeth bonding?
Before bonding, your dentist examines your teeth and selects a resin color that matches your natural teeth. After the procedure, teeth appear smoother, more uniform, and aesthetically enhanced with minimal discomfort.
How long does teeth bonding last?
Teeth bonding typically lasts 3 to 10 years, depending on oral hygiene, diet, and habits like teeth grinding. Regular dental check-ups help maintain its durability and appearance.
Is teeth bonding a painful procedure?
Teeth bonding is usually painless and often requires little to no anesthesia. Some patients may experience slight sensitivity after the procedure, which typically resolves quickly.
How should I care for my teeth after bonding?
Maintain good oral hygiene by brushing twice daily, flossing, and avoiding hard or sticky foods. Regular dental check-ups ensure the bonded teeth remain strong, stain-free, and long-lasting.
What are the advantages of teeth bonding?
Teeth bonding is quick, affordable, and minimally invasive. It can repair chips, close gaps, improve tooth shape, and enhance overall smile aesthetics, providing instant cosmetic results.


